WELCOME TO DENTARTISTRY
SPECIALIZED IN PROSTHETIC, ESTHETIC AND IMPLANT DENTISTRY
Book an Appointment
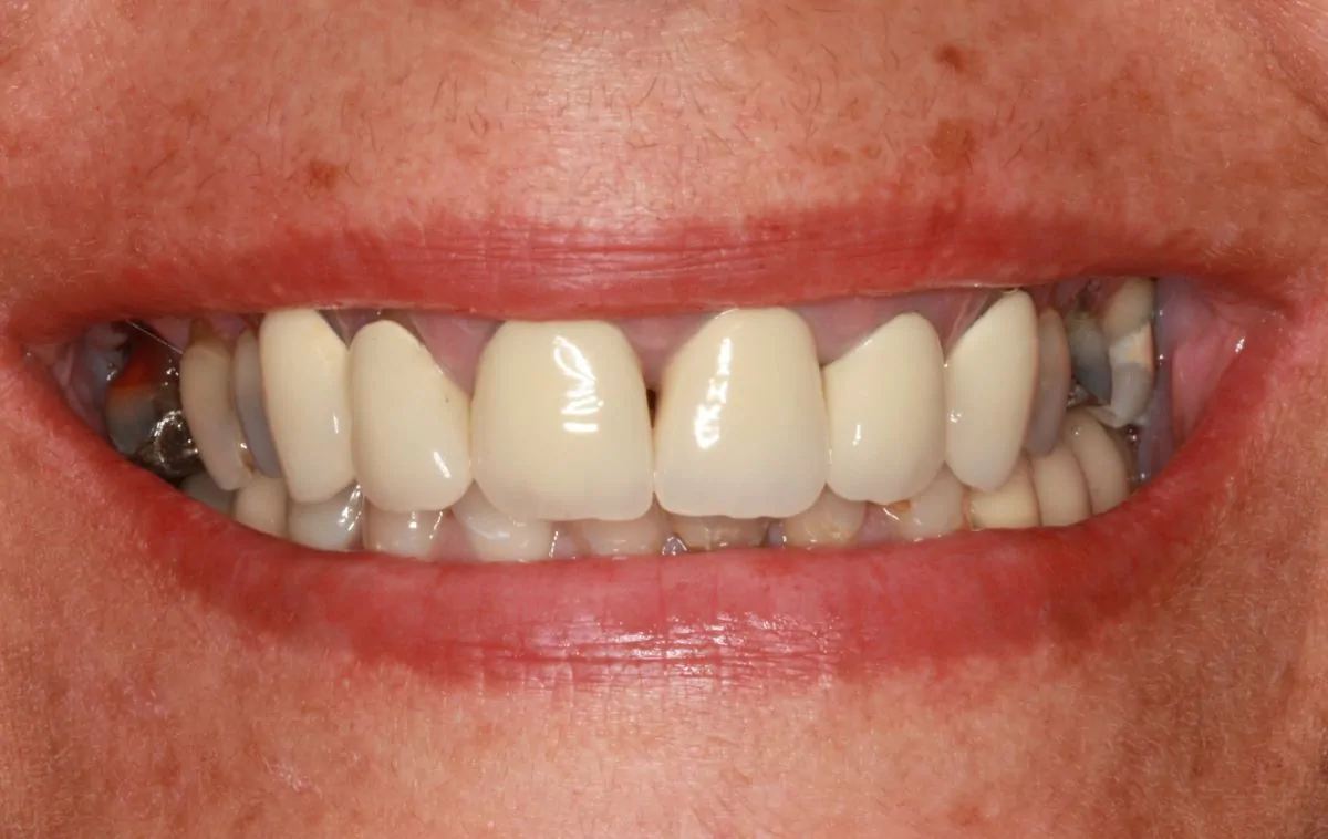
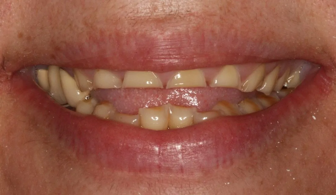
DentArtistry is a dental clinic based in Athens, Greece, providing specialized, high-quality care in Prosthodontics, Implant and Cosmetic Dentistry.
As USA-trained prosthodontists, we are highly qualified to deliver advanced dental treatments focused on restoring function, aesthetics, and long-term oral health.
We utilize the most advanced technologies and contemporary dental techniques to perform precise, cutting-edge procedures with a high level of predictability and success.
If you need to replace missing teeth or enhance your smile, our team is here to help you achieve a healthy, natural-looking result.
Domna Evangelidou & George Siamos
Learn more
Do you need to reach us, but leaving away from Athens, makes it difficult for you?
Need an initial consultation about your dental concerns?
Schedule an online consultation and save valuable time.
Learn moreDo you want to offer a gift to a loved one?
A gift never expected?
Consider teeth whitening!
You purchase the service and we inform the recipient of your gift that they will have their teeth whitened at our office as a gift from you.
Learn more
































